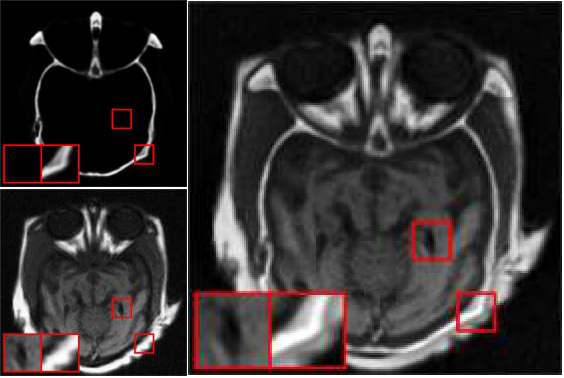
Images Fusion
4 June 2022
wiki

Fusion of two or more images
In order to enrich the image (e.g., the combination of normal images with tera-hertz or with infrared images).

in order to eliminate the influence of focal length

medical and determination of disease and cancers.

in order to remove the effects of lighting

in order to enrich aerial or satellite images

in order to combine faces

The latter case, of course, has other applications such as anticipation of a child's image from the pictures of parents.