همجوشي (ترکيب) تصاوير

همجوشي (ترکيب) تصاوير

ترکیب تصاویر
به میانگین وزندار گرفتن از دو تصویر ترکیب آن دو گفته میشود.
بسته به کاربرد میتوان وزنهای متفاوتی به هریک اختصاص داد.
در این پست ما از این روش پردازش تصویر برای شبیهسازی بازتاب پنجره شیشهای مترو استفاده کردیم.
همجوشي دو يا چند تصوير
به منظور غناي اطلاعاتي تصوير (مثلاً ترکيب تصاوير معمولي با تراهرتز يا با تصاوير فروسرخ ).

همجوشی تصاویر در حوزه فرکانس
در این هر یک از این سه کلیپ، دو تصویر با هم در حوزه فوریه ترکیب میشوند؛ به این صورت که پس از اعمال تبدیل فوریه، فاز یک تصویر را با دامنه دیگری ترکیب میکنیم و از فوریه معکوس گرفته میشود.
ادغام تصاویر (۲)
پیشتراطلاعاتی در مورد ادغام تصاویر ارائه شد. در این پست چند تصویر زیبا با هم ادغام میشوند.
لذت رنگها!
بیاییم از این به بعد بیشتر دقت کنیم از رنگها بیشتر لذت ببریم.
تقدیم به ساحت نورانی حضرت فاطمه زهرا سلام الله علیها
به منظور حذف تاثير تنظيم فاصله کانوني

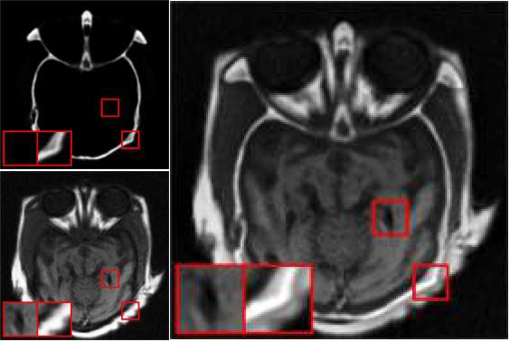
به منظورهاي پزشکي و تعيين بيماري

به منظور حذف تاثيرات نورپردازي

به منظور غني سازي تصاوير هوايي يا ماهواره اي

به منظور ترکيب چهره ها

البته مورد اخير به جز سرگرمي کاربردهايي مانند پيشبيني چهره کودک از تصاوير چهره والدين را دارد.