پردازش تصاوير پزشکي
10 خرداد 1401
دانستنیها

پردازش تصاوير پزشکي

جراحي توسط پزشک از راه دور و توسط بازوهاي رباتيک.
تنفس شمار تصويري

ضربان قلب شمار تصويري

ناحيه بندي تصاوير اشعه مجهول (مثلاً جدا سازي خودکار دندان ها)

اطلاع از ناهنجاري هاي ستون فقرات

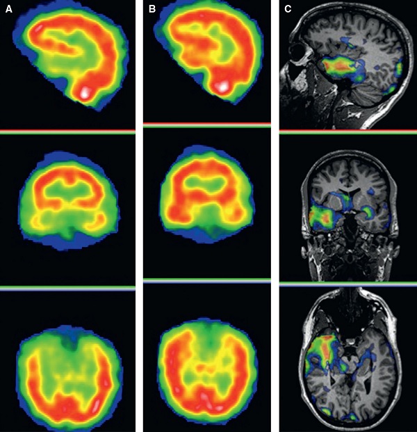
تشخيص تومورهاي مغزي در تصاوير MRI يا تعيين نواحي فعال مغز حين انجام کارهاي خاص.

اطلاع از بيماري هاي چشم

تشخيص سرطان هاي مختلف از تصاوير پزشکي CT Scan .

همجوشي تصاوير پزشکي
